09 Nephrology
HTN
Hypertension is the second leading cause of end stage renal disease in North America after diabetes mellitus. It is the leading cause of kidney disease among African Americans.
Complications
Over time, uncontrolled or undiagnosed hypertension can cause changes in the blood vessels called arteriolosclerosis. Because hypertension is a systemic disorder, multiple vessels are affected, including the:
Heart: Left ventricular hypertrophy & diastolic dysfunction
Eyes: Hypertensive retinopathy
Kidneys: Hypertensive nephrosclerosis
Nephrosclerosis
Depending on the severity and chronicity of hypertension, increased capillary hydrostatic pressure in the glomeruli can result in either benign or malignant sclerosis.
Laboratory findings suggestive of benign hypertensive nephrosclerosis include slowly progressive elevations in:
BUN
Plasma creatinine
Mild proteinuria (<1g/day)
Malignant nephrosclerosis develops in patients with severe or undiagnosed hypertension (malignant hypertension) or long-standing benign hypertension. Renal manifestations of malignant nephrosclerosis include:
Rapidly increasing creatinine
Proteinuria (nephrotic syndrome may develop)
Hematuria
RBC casts
WBC casts
Microangiopathic hemolytic anemia
Hypertensive nephrosclerosis is often first diagnosed at routine visits in which abnormally high creatinine levels or blood pressures are recorded.
Ultrasound in patients with longstanding hypertensive nephrosclerosis may show bilaterally shrunken kidneys due to cortical scarring and shrinking.
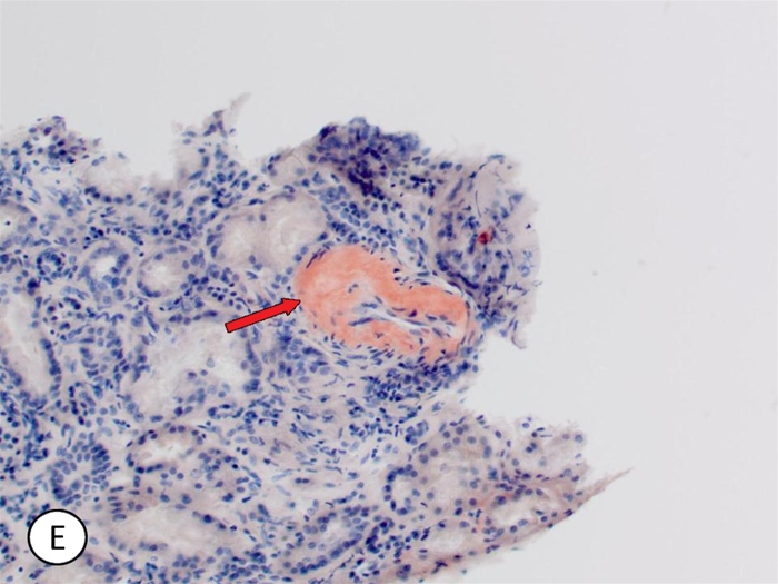
Arteriosclerosis is the key histological feature of hypertensive nephrosclerosis.
Arteriosclerosis in hypertensive nephrosclerosis is mediated by:
Hyalinization of vessel walls
Medial hypertrophy and fibroblastic intimal thickening
Treatment
The most important component in treatment of hypertensive nephrosclerosis is blood pressure regulation.
In patients who have developed CKD, studies suggest that the kidney function is better preserved if the blood pressure is allowed to be maintained between 130-140 mmHg. Lower than this may actually worsen kidney function.
In the setting of a hypertensive crisis, the goal is not to bring the blood pressure down to normal. The goal is to decrease the MAP by no more than 25% in the first 24 hours.
If possible, even in stage IV CKD, see if an ACE inhibitor can be used. Several studies have commented on the use of an ACE inhibitor, even in advanced kidney stage, for preserving kidney function.
Normal Renal Physiology
20% of all renal plasma flow enters Bowman’s capsule to begin the filtering process.
PCT
In the proximal convoluted tubule (PCT), almost all glucose, bicarbonate, and amino acids are reabsorbed.
2/3 of sodium is reabsorbed in the PCT, while chloride and water are reabsorbed passively.
In the PCT, organic acids and bases are actively secreted into the tubule.
The PCT is the site of action for acetazolamide (inhibition of carbonic anhydrase) and parathyroid hormone (promotes excretion of phosphate).
Note that parathyroid hormone also acts at the distal convoluted tubule.
Loop
The descending loop of henle enters the deeper portions of the kidney, where the interstitial osmotic gradient increases, causing the reabsorption of water and the concentration of fluid in the tubule.
In the thick ascending loop of Henle, Na, Cl, and K are actively reabsorbed (contributing to the interstitial osmotic gradient) by the Na/K/Cl (NKCC) cotransporter.
In addition, Mg, K, and Ca are passively reabsorbed as they diffuse through paracellular routes.
The thick ascending limb is impermeable to water, resulting in dilution of the tubular fluid.
The NKCC channels of the thick ascending limb are the targets for loop diuretics (e.g. furosemide, bumetanide, ethacrynic acid). By blocking reabsorption of ions in the thick ascending limb, reabsorption of water in the thin descending limb is halted.
DCT
The cells of the distal convoluted tubule (DCT) actively reabsorb NaCl, however they are impermeable to water, making the tubular fluid hypotonic.
Increased sodium reabsorption in the distal convoluted tubule is mediated by aldosterone.
Calcium is reabsorbed in the distal convoluted tubule under the influence of parathyroid hormone.
The NaCl channels in the distal convoluted tubule are the targets for thiazide diuretics.
CD
The collecting tubules are the final branch of the nephron and consist of two cell types: principal cells and intercalated cells.
Reabsorption of sodium and water and secretion of K+ occurs at the principal cells.
At the principal cells, aldosterone activity increases Na+ reabsorption and K+ secretion.
Antidiuretic hormone (ADH) stimulates the reabsorption of water at the level of the principal cells.
Alpha-intercalated cells secrete H+ and reabsorb bicarbonate.
Aldosterone acts at alpha-intercalated cells to increase H+ secretion.
Beta-intercalated cells secrete HCO3- and reabsorb H+.
The principal cells of the collecting tubule are the site of action for K+ sparing diuretics (i.e. amiloride, triamterene, spironolactone and eplerenone).
The kidney also has several endocrine functions including the production of:
EPO - involved in increasing red blood cell production
1-α-hydroxylase - stimulated by PTH, catalyzes reaction forming active Vitamin D
Prostaglandins - local vasodilatory function
Renin - involved in triggering the renin-angiotensin-aldosterone system
Nephritic
RPGN
Rapidly progressive glomerulonephritis (RPGN) is not a discrete disease in and of itself, but is a rapidly progressive renal failure that can occur in any nephritic syndrome.
There are three types of RPGN:
Type 1 - characterized by anti-GBM antibodies (includes Goodpasture's syndrome)
Type 2 - characterized by immune complex deposition (includes post-streptococcal glomerulonephritis, lupus nephritis, henoch schonlein purpura and IgA nephropathy)
Type 3 - pauci-immune - characterized by the absence of immune complex deposition (includes Wegener's granulomatosis and microscopic polyangiitis)
RPGN is a very severe disease that can present with:
sudden renal failure
oliguria
signs and symptoms consistent with nephritic syndrome
weakness
nausea
myalgias
fever
hemoptysis (if part of a pulmonary-renal syndrome)
A definitive diagnosis of RPGN requires a kidney biopsy, which will show crescents in the glomeruli on light microscopy and immunofluorescence.
Depending on the etiology, the glomeruli may stain positive for immune complexes. This is seen in:
Henoch-Schonlein
IgA nephropathy
PSGN
Lupus nephritis
Management
RPGN requires immediate aggressive treatment with plasmapheresis, steroids, and cytotoxic agents in order to save renal function.
Alport
Alport syndrome is a nephritic syndrome caused by a defect in type IV collagen.
Most cases are X-linked, preferentially affecting males.
That classic clinical triad of Alport's syndrome is:
hematuria
sensorineural hearing loss
ocular abnormalities (e.g., lens dislocation, posterior cataracts, corneal dystrophy)
Urinalysis findings that are found in Alport's syndrome include:
RBC casts
hematuria
proteinuria
pyuria
A renal biopsy in Alport syndrome will show a classic "basketweave" appearance on electron microscopy. This is due to the irregular thickening/thinning of the glomerular basement membrane with splitting/lamination of the lamina densa.
Management
The mainstay treatment for Alport syndrome includes ACEIs and ARBs.
Wegener
Wegener's granulomatosis is a systemic disease caused by systemic necrotizing vasculitis. It affects all areas of the body, and is mostly associated with clinical manifestations caused by damage to:
Upper airways (sinuses, ear, nose, throat)
Lungs
Kidneys
The symptoms of Wegener's syndrome can be divided in to the areas of the body affected:
Upper airways: rhinorrhea, nasopharyngeal ulceration, saddle nose deformity
Lungs: hemoptysis, cough, dyspnea
Kidneys: hematuria, renal failure, rapidly progressive glomerulonephritis
Systemic: arthralgias and arthritis
Lab values seen in Wegener's syndrome include:
positive urine RBCs and occasionally RBC casts
increased ESR and CRP
positive c-ANCA in up to 90% of patients
A biopsy of affected tissue (lungs, kidneys, upper airways) will show granulomatous inflammation of blood vessels.
Treatment
Wegener's syndrome is treated with corticosteroids, cyclophosphamide, and TNF-alpha inhibitors.
IgA Nephropathy
IgA nephropathy is the most common cause of glomerular hematuria world-wide. The exact cause is unknown, but it may be related to infection.
IgA immune complexes deposit in the mesangial cells of the kidneys, leading to damage of the glomeruli.
IgA nephropathy is associated with other diseases, such as:
Henoch Schönlein purpura
Cirrhosis
Celiac disease
Inflammatory disorders (e.g. sarcoidosis and IBD)
IgA nephropathy is often confused with Post-Streptococcal Glomerulonephritis (PSGN) as they share similar symptoms and both occur following an upper respiratory infection (URI), however certain characteristics help to distinguish between the two. These include:
IgA nephropathy tends to occur within one week of URI, whereas PSGN typically occurs several weeks post-infection.
IgA nephropathy presents with normal complement levels, whereas PSGN presents with hypocomplementemia (particularly, C3 complement).
Throat culture for Group A Streptococcus will be positive in PSGN following a URI. This is typically not the case in IgA nephropathy.
IgA nephropathy typically occurs shortly after an upper respiratory infection. Patients frequently have:
hematuria
flank pain
low-grade fever
Kidney biopsy is required to diagnose IgA nephropathy.
Increased proliferation of mesangial cells and immune complexes are seen on electron microscopy.
Light microscopy may show either normal-appearing glomeruli or mesangial widening due to mesangial proliferation and/or deposition of immune complexes.
The urine dipstick will be positive for blood and protein. The urine sediment can show red blood cells and red blood cell casts.
Treatment
Nonimmunosuppressive treatments for patients with proteinuria and IgA nephropathy include angiotensin-converting enzyme (ACE) inhibitors or angiotensin II receptor blockers (ARBs).
Immunosuppressive therapy with glucocorticoids is used in patients with IgA nephropathy and disease progression despite treatment with ACE inhibitors or ARBs. Specific indications include hematuria plus any of the following:
Progressively declining GFR
Persistent proteinuria
Renal biopsy demonstrating evidence of active disease
Goodpasture
Goodpasture syndrome is a pulmonary-renal syndrome caused by anti-basement membrane antibodies in the glomeruli and alveoli.
The triad of goodpasture syndrome is anti-GBM antibodies, rapidly progressive glomerulonephritis, and pulmonary hemorrhage.
The most common presenting symptoms of goodpasture syndrome are very non-specific:
Malaise
Arthralgias
Myalgias
Weight loss
Hemoptysis used to be a much more frequent symptom, but is now only seen in about 50% of patients, likely due to the decreasing rates of smoking.
Renal symptoms include hematuria, edema, and other symptoms of renal failure.
The two criteria critical in the diagnosis of goodpasture syndrome are the presence of anti-GBM antibodies and a positive kidney biopsy.
Kidney biopsy will show a linear pattern with immunofluorescence. If severe, the biopsy will also show many crescents and glomerular necrosis.
A chest x-ray may show evidence of pulmonary effusion and/or hemorrhage.
On CBC, many patients will also be anemic.
Goodpasture is typically treated with plasmapheresis, cyclophosphamide, and steroids.
Lupus Nephritis
Lupus nephritis is thought to arise from autoimmune deposition and destruction of the glomerulus and glomerular basement membrane. More specifically, anti-dsDNA and anti-phospholipid antibodies play a major role in the development of nephritis.
Knowing the different classes/stages of lupus is important because it determines the treatment approach.
Classes of Lupus Nephritis (LN) Class
Biopsy Findings
Clinical Features
I, Minimal Mesangial LN
Immune deposits on EM
Asymptomatic
II, Mesangial Proliferative LN
Mesangial hypercellularity on LM
Minimal renal disease
III, Focal Proliferative LN
Glomerulonephritis in <50% of glomeruli
Increased disease, may have hypertension
IV, Diffuse Proliferative LN
Glomerulonephritis in >50% of glomeruli
Most active renal disease, hypertension, heavy proteinuria
V, Membranous LN Glomerulonephritis
Global or segmental subepithelial immune deposits
Heavy proteinuria
VI, Advanced Sclerosing LN
>90% of glomeruli sclerosed
Renal failure inevitable
The presentation of lupus nephritis depends on the class and can range from asymptomatic to renal failure. From class I-VI, symptoms progress as follows:
asymptomatic
minimal renal disease, mild proteinuria
increased disease, may have HTN
most active renal disease with HTN and heavy proteinuria
heavy proteinuria
renal failure
In addition to symptoms specific to lupus nephritis, patients may also exhibit general symptoms of SLE including rash, oral ulcers, arthritis, synovitis and serositis.
In addition to history and physical, lupus nephritis is diagnosed based on labs such as hematuria, proteinuria, and positive SLE serology (ANA, anti-DNA antibodies).
Renal biopsy should be considered in patients with symptoms of active nephritis.
In general, active nephritis is associated with an elevated ESR and anti-dsDNA antibodies with depressed C3 and C4 levels.
Treatment
Stages I and II of lupus nephritis require no treatment, only observation.
Classes III, IV and V require more aggressive treatment with steroids and immunosuppressive agents, mainly cyclophosphamide.
For Class VI, or advanced fibrosis, the kidney disease is irreversible and is likely not amenable to immunosuppressive treatment.
ACE inhibitors are a standard of care to reduce proteinuria.
MPGN
Membranoproliferative glomerulonephritis is a mixed nephrotic/nephritic disease associated with the following etiologies:
Idiopathic
Autoimmune disease
Hepatitis B & C
Lupus
Bacterial endocarditis
Patients with MPGN are often present with edema (typical in nephrotic syndromes), hypertension, oliguria and fatigue. Symptoms of a related underlying disorder or renal failure may be present as well.
Clinical signs of membranoproliferative glomerulonephritis include those typical of a nephrotic syndrome:
Proteinuria (>3.5g/day)
Hyperlipidemia
Fatty casts
In addition to lab findings of other nephrotic syndromes, MPGN will frequently result in:
Hematuria
Hypocomplementemia
The kidney biopsy is definitive for diagnosis of MPGN.
Depending on the type of MPGN, electron microscopy with show:
Type I - Tram-track appearance due to basement membrane splitting
Type II - Dense intramembranous deposits
MPGN almost always progresses to renal failure. Progression can be slowed with the combination of corticosteroids with aspirin or dipyridamole.
PSGN
Post streptococcal glomerulonephritis (PSGN) is one of the most common glomerular causes of gross hematuria in children and is a major cause of morbidity in group A strep infections, and follows a skin or upper respiratory infection with a nephritogenic strain of group A strep.
PSGN is a type III hypersensitivity reaction in which immune complexes are deposited in the glomeruli, activating the complement system and inflammation that damages the renal glomeruli.
Strep infection → activation of immune system → immune complex deposition → glomerular inflammation → PSGN nephritic syndrome.
The classic presentation of PSGN is a child (most often) or young adult with a recent URI or skin infection, followed by the classic triad of:
edema (especially in the periorbital region)
hematuria
hypertension
Patients may also have brown urine and signs of renal failure.
The clinical diagnosis of PSGN begins with laboratory evidence of nephritic range hematuria and nephritic range proteinuria:
4+ blood on urine dipstick
< 3.5g protein/day
The kidney biopsy is confirmatory, and will show IgG and C3 positive bumpy deposits on renal basement membrane visible with electron microscopy.
Other common lab findings in PSGN include:
high ASO (antistreptolysin O) titer
increased BUN and Cr
positive anti-DNAse B titer later in the disease
Treatment
PSGN is normally self-limited, and treatment is only needed to manage the complications, such as diuretics and ACEIs to manage the edema and hypertension.
Nephrotic
Complications
Complications of nephrotic syndrome include: protein malnutrition, iron-resistant microcytic hypochromic anemia due to transferrin loss, vitamin D deficiency due to increased urinary excretion of cholecalciferol-binding protein, decreased thyroxin levels due to loss of thyroxine-binding globulin, and increased susceptibility to infection.
Membranous nephropathy
85% of cases of membranous nephropathy are primary idiopathic.
There are a variety of causes of secondary membranous nephropathy, including:
Infections (Hepatitis B and C)
Autoimmune diseases, especially lupus
Drugs (gold, captopril, penicillamine)
Malignancies
Common presenting symptoms of membranous nephropathy include edema and dyspnea.
Kidney biopsy is required to definitively diagnose membranous nephropathy, and will show a spike and dome pattern. The spikes are basement membrane material and the domes are immune complex deposits.
Patients will also have other typical nephrotic syndrome lab findings:
Hyperlipidemia
Hypoalbuminemia
Proteinuria
Immunofluorescence microscopy will show granular deposits of IgG and/or C3.
Sub-epithelial immune complex deposits can be seen on electron microscopy.
Membranous nephropathy is treated with corticosteroids, cytotoxic agents, statins, and ACE inhibitors.
Membranous nephropathy is associated with an increase in coagulopathies such as renal vein thrombosis, DVT, and pulmonary embolism.
Anticoagulation therapy is recommended if patients have severe (>5g/day) proteinuria.
Renal failure develops in about 33% of patients.
Minimal change disease
Minimal change disease (Lipoid Nephrosis; Nil disease) is the most common cause nephrotic syndrome in children, but it can still occur in adults. Most cases are idiopathic.
The classic clinical presentation of minimal change disease is a young child (most commonly 2-6 years of age), sometimes with a recent history of respiratory infection or routine prophylactic immunization who presents with massive proteinuria and S/Sx of nephrotic syndrome.
Hodgkin's disease and non-Hodgkin's lymphoma have been associated with minimal change disease.
Diagnosis
The diagnostic approach to MCD differs in children (ages 1-12) vs. adults:
Children are empirically treated with oral prednisone; renal biopsy is reserved for steroid-resistant cases.
Adults require a renal biopsy to diagnose MCD.
Light microscopy findings will be normal.
Electron microscopy will show:
Diffuse effacement of podocyte (visceral epithelial cell) foot processes
Normal-appearing glomerular basement membrane, no electron-dense deposits
Lab findings of minimal change disease are similar to those of other nephrotic syndromes:
Hyperlipidemia
Hypoalbuminemia
Heavy proteinuria
Minimal change disease normally responds very well to corticosteroids.
FSGS
Focal segmental glomerulosclerosis is the most common cause of nephrotic syndrome in African Americans.
The collapsing variant of focal segmental glomerulosclerosis is highly associated with HIV infection (HIV-associated nephropathy).
Focal segmental glomerulosclerosis is highly associated with heroin use.
Risk factors associated with FSGS can be remembered with the mnemonic MOSAIC*:
Minority (African Americans)
Obesity
Sickle cell disease
AIDS (HIV)
IV drug abuse (heroin) and Interferon treatment
Chronic kidney disease (secondary to congenital absence or surgical removal)
*FSGS looks like a "mosaic" on histology since it shows a focal/segmental pattern of sclerosis.
FSGS presents with symptoms typical of most nephrotic syndromes:
Edema
Foamy urine
Hypertension
Dyspnea
Lab findings consistent with FSGS include:
Hyperlipidemia
Hypoalbuminemia
Hematuria
High levels of proteinuria
Effacement of the epithelial cell foot processes is seen on electron microscopy in patients with focal segmental glomerulosclerosis. This finding resembles minimal change disease.
Treatment
First-line immunosuppressive agents for patients with primary focal segmental glomerulosclerosis include glucocorticoids (e.g. prednisone) and calcineurin inhibitors (e.g. cyclosporine, tacrolimus).
Non-immunosuppressive agents used in the treatment of patients with primary focal segmental glomerulosclerosis include inhibitors of the RAAS system (ACE inhibitors, ARBs) and statins (to treat concomitant hypercholesterolemia).
Diabetic Nephropathy
Diabetic nephropathy is the leading cause of chronic kidney disease and is characterized by persistent albuminuria and progressive GFR decline.
Persistent hyperglycemia leads to 3 histologic changes within the glomeruli:
Mesangial expansion (glycosylation of matrix proteins)
Thickening of the GBM
Glomerular sclerosis (from hyaline deposition within the vessels supplying the glomeruli).
Early diabetic nephropathy is a clinical diagnosis, which is characterized by progressive albuminuria. Patients may be asymptomatic or present with other signs and symptoms of long-standing DM including:
Hypertension
Non-healing ulcers
Decreased peripheral pulses
Foot edema
Polyuria
Foamy urine
The best diagnostic test for diabetic nephropathy is an albumin-to-creatinine ratio on spot urine test to check for the presence of and degree of proteinuria.
Microalbuminuria = 30 – 300 mg/day; Nephropathy= >300 mg/day
Renal biopsy is not routinely performed when the clinical presentation is consistent with diabetic nephropathy. Renal biopsy should be performed when there is an atypical presentation or another pathology is suspected. The classic biopsy will show nodular sclerosis, otherwise known as Kimmelstiel-Wilson nodules.
Other complications of Diabetes include:
Hypertension
Non-healing ulcerations
Edema
Myocardial infarction
Renal failure
Death
The best treatments in patients with diabetic nephropathy include optimizing glucose control (< 7.0 HbA1C) and managing blood pressure (< 130/80 mmHg).
Incorporating an ACE inhibitor or angiotensin receptor blocker (ARB) is important as these agents have been shown to slow the progression of diabetic complications.
Amyloidosis

This patient has nephrotic syndrome, evidenced by edema and a high degree of proteinuria. Common causes of nephrotic syndrome in adults are membranous glomerulopathy, focal segmental glomerulosclerosis, minimal change disease, and amyloidosis.
Amyloidosis is the most probable cause of nephrotic syndrome in this patient. Clues to this diagnosis include a history of rheumatoid arthritis (that predisposes to amyloidosis), enlarged kidneys, and hepatomegaly. The typical findings on renal biopsy are amyloid deposits that stain with Congo red and demonstrate a characteristic apple-green birefringence under polarized light. These amyloid deposits are seen in the glomerular basement membrane, blood vessels, and interstitium of the kidneys and can be seen on electron microscopy as randomly arranged thin fibrils. The deposits may consist of light chains (AL amyloidosis) or abnormal proteins (AA amyloidosis). Rheumatoid arthritis is the most common cause of AA amyloidosis in the United States.


Congenital Syndrome
ADPKD
ADPKD (autosomal-dominant polycystic kidney disease) is the most common genetic cause of chronic kidney disease in adults. ADPKD is a progressive multi-systemic disorder characterized by cyst formation within the kidneys and other organs (e.g. liver, spleen, pancreas).
Development of 100s to 1000s of large, round expanding cysts by 20-25 years of age leads to massive bilateral kidney enlargement, destruction of renal parenchyma, and ultimately renal failure later in life.
ADPKD is caused by mutations in the PKD1 (polycystin-1) gene (85%) and the PKD2 (polycystin-2) gene (15%).
Mutations in PKD1 are associated with more severe disease, resulting in ESRD (end-stage renal disease) at an earlier age (55 years of age), while patients with PKD2 mutations present much later in life (75 years of age).
PKD1 encodes polycystin-1: a transmembrane protein important for connective tissue cohesion between renal tubular epithelial cells (esp. the distal nephron) as well as other cells throughout the body.
Patients with autosomal dominant polycystic kidney disease are often asymptomatic with normal renal function until their 40s and 50s.
When symptomatic, patients typically present with hypertension (most common presenting symptom), abdominal mass or enlargement from enlarging kidneys, flank pain, polydipsia, and polyuria.
Renal failure typically occurs from recurrent pyelonephritis and nephrolithiasis.
Diagnosis
Ultrasonography is the best initial diagnostic test for ADPKD, and can detect cysts within the kidneys, liver, and pancreas.
CT and MRI are more sensitive and used when there is a negative ultrasound with a strong family history.
Genetic testing can provide a definitive diagnosis of ADPKD. Genetic testing is typically performed in patients who have a strong family history and in those with negative imaging studies who are being considered as potential kidney donors.
Other helpful tests include the following:
Urinalysis- typically reveals mild proteinuria and/or hematuria
GFR - decreased, based on the degree of nephron involvement
CBC - may reveal anemia
Serum calcium and phosphorous levels - hypocalcemia and hyperphosphatemia may result depending on the degree of renal failure
Complications
Extrarenal congenital anomalies associated with ADPKD include:
Extrarenal cysts: liver (hepatic cysts most common) > pancreas > spleen
Intracranial berry aneurysm (most commonly at the junction of the anterior communicating artery with the ACA (anterior cerebral artery)
Mitral valve prolapse (midsystolic click) and aortic regurgitation
Colonic diverticula
Abdominal wall and inguinal hernia
ADPKD may result in complications such as renal failure, liver failure, myocardial infarction, stroke, ruptured intracranial aneurysm, and even death.
Patients with ADPKD are also at an increased risk of renal cell carcinoma.
Treatment
Treatment is primarily supportive and typically consists of medications to help control complications such as hypertension, hyperlipidemia, fluid overload, and metabolic disturbances.
ACE inhibitors (e.g. captopril, lisinopril) and angiotensin receptor blockers (e.g. losartan, candesartan) are the first-line agents for treating patients with hypertension and ADPKD.
Additional treatments for patients with ADPKD include:
Statins (e.g. pravastatin)
Antibiotics to treat UTIs
Surgical drainage of symptomatic cysts
Dialysis in patients with ESRD
The only curative treatment for ADPKD is transplantation.
ARPKD
Autosomal recessive polycystic kidney disease (ARPKD) is an infantile disease characterized by renal cyst formation, predominantly affecting the renal collecting ducts.
Kidneys are bilaterally enlarged with a smooth external surface and multiple small radiating cysts in the cortex and medulla.
Most ARPKD cases are caused by mutations in the PKHD1 gene (polycystic kidney and hepatic disease 1) on chromosome 6.
Patients present with progressive, often fatal renal failure, most commonly during the perinatal or neonatal period.
ARPKD is a condition that is diagnosed in infants; the clinical signs and symptoms include:
A palpable flank mass may be present, resulting in abdominal distention
Polydipsia and polyuria
Hypertension
Hepatic involvement in ARPKD is almost always present, and, in some cases, may be the dominant physical finding. Presentations include:
Multiple hepatic cysts
Hepatic fibrosis (periportal fibrosis + proliferation of portal bile ducts) → portal hypertension with splenomegaly
Potter's Sequence often develops in-utero:
Renal failure in utero → oligohydramnios (↓ amniotic fluid) → Potter’s facies (flattened “parrot beak” nose, low-set ears, micrognathia), limb defects (rocker-bottom feet, talipes equinovarus) and lung hypoplasia.
Pulmonary complications secondary to lung hypoplasia are the leading cause of morbidity and mortality in patients with ARPKD.
Diagnosis
The diagnosis of ARPKD can be confirmed by ultrasound demonstrating the presence of small radiating cysts.
Genetic testing may confirm the diagnosis, if other means of diagnosis are unclear.
Serum chemistry is obtained for evaluation of BUN and creatinine levels. Liver function tests can be done but are not usually elevated in ARPKD despite the liver involvement.
There is no specific treatment for ARPKD. The treatment is tailored to the degree of kidney and/or liver disease present. Note that the degree of lung impairment in the neonate is a critical prognostic factor of survival.
ACEIs and ARBs are used to treat the hypertension in ARPKD.
Bartter
Bartter syndrome is characterized by a defective Na + /K + /2Cl - co-transporter in the thick ascending limb of the Loop of Henle, resulting in the wasting of salt and water. It is inherited in an autosomal recessive manner.
This defect leads to excessive Na+, K+, and Cl- being delivered to the distal tubules with wasting of salt and water.
Due to the defective Na+/K+/2Cl- co-transporter, excess Na+, K+ and Cl- are delivered to the distal tubules, ultimately leading to the wasting of salt and water. The resulting volume contraction, along with increased levels of prostaglandins, leads to activation of the renin-angiotensin system, ultimately resulting in secondary hyperaldosteronism.
A combination of elevated aldosterone due to hypovolemia and increased water and sodium delivery to the collecting tubules results in increased H+ and K+ secretion from α-intercalated cells, resulting in metabolic alkalosis and hypokalemia.
Impaired delivery of NaCl to the cells of the macula densa results in renal production of prostaglandin E2. PGE2 directly stimulates renin release, further contributing to electrolyte imbalances.
You can remember the symptoms and etiology of Bartter syndrome because patients have symptoms of a patient who has taken too much furosemide (inhibits Na+/K+/2Cl- transporter).
Patients with Bartter's syndrome can be volume depleted and exhibit signs of hypotension and tachycardia.Other physical examination signs can include dry mucous membranes, dry buccal mucosa, and decreased skin turgor.
In the setting of profound hypokalemia, there can be muscle weakness and fatigue. Serum hypomagenesemia may occur as well and contribute to symptoms of weakness and fatigue.
Polyuria and polydipsia are often present due to impairment of urinary concentration.
Diagnosis
The diagnosis of Bartter's syndrome is often one of exclusion. The initial step in diagnosing Bartter's syndrome involves excluding overuse of loop diuretics.
The patient will have elevated urine sodium, potassium, and chloride, as well as a hypokalemic metabolic alkalosis (as you would see with Lasix)
Low magnesium levels may also be present.
HYPERcalciuria is present in Bartter’s syndrome; HYPOcalciuria is present in Gitelman’s Syndrome – this is a main difference between the two syndromes.
Measuring 24-hour urine calcium excretion is therefore used to help differentiate between these disorders.
Treatment
To date, the tubular defects of Bartter syndrome cannot be corrected. This being the case, treatment methods are aimed at correcting the secondary imbalances in electrolytes and renin.
The most common initial therapy in patient's with Bartter syndrome involves the combination of NSAIDs and a potassium-sparing diuretic, like spironolactone or amiloride.
Oral potassium supplementation may be beneficial as well.
Gitelman
Gitelman syndrome is an autosomal recessive condition characterized by a mutation in the Na+/Cl- transporter (NCCT) in the distal convoluted tubule.
Because Gitelman's Syndrome involves decreased function of the distal tubule NCCT transporter, the effects are similar to those seen in someone overusing thiazide diuretics.
As stated above, the easiest way to think about Gitelman’s Syndrome is almost the equivalent of someone taking too much hydrochlorothiazide.
Because the activity of NCCT channels is reduced, patients are often volume contracted and hypotensive. Patients may exhibit tachycardia if profound. Other physical examination signs can include dry mucous membranes, dry buccal mucosa, and decreased skin turgor.
The reduction in volume and subsequent hypotension results in increased activity of the renin-angiotensin-aldosterone system.
Hypomagnesemia is a pathognomonic finding for Gitelman's syndrome.
Unlike Bartter syndrome, which usually leads to hypercalciuria, Gitelman syndrome causes hypocalciuria, as calcium is spared in the distal convoluted tubule.
In the setting of profound hypomagnesemia and hypokalemia, there can be muscle weakness, tetany, and/or fatigue.
Pseudogout/CPPD can be an initial presenting symptom in Gitelman’s Syndrome.
Diagnosis
The diagnosis of Gitelman's syndrome is often one of exclusion.
Suspicion should be raised in a patient who has unexplained hypotension, hypokalemia, hypomagnesemia and metabolic alkalosis in which other, more common, etiologies have been ruled out.
Once considering a diagnosis of Gitelman's syndrome, a urine diuretic screen is necessary to rule out diuretic use.
You may see elevated sodium, potassium, and chloride in the urine (as again you would see in someone to whom you had given HCTZ).
elevated urine magnesium and decreased urine calcium may also be present
HYPERcalciuria is present in Bartter’s syndrome;HYPOcalciuria is present in Gitelman’s syndrome – this is a key difference between the two syndromes.
X-rays can be used to diagnose chondrocalcinosis (associated with pseudogout), which is seen with Gitelman’s syndrome.
Treatment
To date, the tubular defects of Gitelman's syndrome cannot be corrected. This being the case, treatment methods are aimed at correcting the secondary imbalances in electrolytes and renin.
Initial therapy for Gitelman's syndrome typically consists of a potassium-sparing diuretic alone, particularly spironolactone.
Supplements of oral potassium and magnesium are often necessary as well.
Low-dose ACE-inhibitors are also an effective adjunctive therapy, helping to reduce angiotensin II, aldosterone and increase potassium levels.
Horseshoe Kidney
Most patients are asymptomatic with horseshoe kidney typically being discovered coincidentally on routine antenatal ultrasound. If discovered antenatally, a horseshoe kidney should be evaluated by ultrasound postnatally to confirm and evaluate possible hydronephrosis.
Other useful imaging studies include abdominal and pelvic CT (with and without contrast) scanning to screen for the presence of stones, masses, or hydronephrosis.
The serum creatinine and GFR should be evaluated when working up a potential obstruction.
Those with a horsehoe kidney may be at higher risk for kidney stones and complicated kidney infections(e.g. pyelonephritis). They can pose a greater risk to worsening kidney function given the horseshoe kidney.
Note that there can be an increased risk of malignancies in the pediatric population with a horseshoe kidney, one of them being Wilm’s tumor.
Other congenital syndromes also need to be considered at the time of diagnosis, including Turner’s Syndrome.
Routine follow-up and close surveillance is important. In the absence of any specific anatomic or voiding abnormalities, no treatment is necessary.
Horseshoe kidney is a congenital disorder that occurs when the right and left kidneys fuse (90% are fused at the inferior pole; 10% are fused at the superior pole).
Horseshoe kidneys become trapped under the inferior mesenteric artery (at vertebral level L3) ∴ remain low in the abdomen and may compress ureters, leading to urinary tract obstruction and possibly urinary stasis → ↑ incidence of UTIs and nephrolithiasis, but otherwise normal kidney function.
Individuals with horseshoe kidney are typically asymptomatic.
50-60% of girls with Turner syndrome have horseshoe kidney (recall that aortic coarctation is also associated with Turner syndrome).
Hydronephrosis
Hydronephrosis is the dilation of renal calices due to increased pressure in the distal urinary tract (e.g. from stones, masses, or anatomic defects).
Hydronephrosis can be asymptomatic, though common symptoms are a dull flank pain with a history of recurrent UTIs.
Severe bilateral ureteral obstruction can cause anuria. If a patient is anuric, urethral or bladder obstruction should be ruled out by inserting a catheter.
Hydronephrosis is typically diagnosed with imaging, such as ultrasound or intravenous pyelogram.
The most significant complication of hydronephrosis is renal failure. The long-standing increased pressure leads to compression and atrophy of the renal parenchyma.
Hydronephrosis is treated by addressing the underlying obstruction and draining the kidney with a nephrostomy tube (a tube that connects with kidney with an opening in the skin.)
HIV and Kidney
There are multiple etiologies to HIV induced kidney disease, including medications and HIV-associated nephropathy.
With the prevalence of HIV in the community, it has become an increasingly recognized cause of kidney disease. Up to 10% of those with HIV can have kidney disease.
Many medications associated with HAART, including tenofovir and indinavir, can have kidney-associated side effects.
Tenofovir is associated with acute kidney injury due to nephrotoxic ATN.
Indinavir can be a cause of kidney stones associated with a very acidic pH.
Many medications used in the treatment of opportunistic infections of HIV can themselves cause renal injury.
Trimethoprim-Sulfamethoxazole (Bactrim) can inhibit tubular secretion of creatinine and cause pseudo-renal failure.
Note that the sulfa moiety can also be a cause of allergic interstitial nephritis as well.
Bactrim can also cause renal failure due to the formation of intra-tubular crystals (or crystalluria).
Pentamidine can be a cause of acute renal failure likely due to a nephrotoxic ATN. It can also cause other electrolyte abnormalities, including high K+, low Mg2+ and low Ca2+ levels.
HIV can be associated with many glomerulopathies. One of the most aggressive examples of HIV associated glomerulopathies that can cause renal failure is HIV-Associated Nephropathy, or HIVAN. HIVAN is a form of collapsing Focal Sclerosing Glomerulosclerosis (FSGS).
This aggressive form of nephrotic syndrome, which can cause acute renal failure (ARF), is more common in African-Americans. One major risk factor for the development of HIVAN is a low CD4 count, less than 200/mL.
HIV, like many other chronic inflammatory disorders, can be associated with a secondary amyloidosis. This is especially common among IV drug users.
Individuals with HIV and renal disease can have a variable presentation, ranging from being asymptomatic to severe nephrotic syndrome and acute renal failure (ARF).
HIVAN usually presents with severe nephrotic syndrome and significant edema. Affected patients often complain of frothy/bubbly urine and increasing edema/fluid overload. Depending on the creatinine level at the time of presentation, uremic symptoms may also be present.
Interstitial nephritis due to antibiotics can present with a maculo-papular skin rash and a fever.
The evaluation for acute renal failure (ARF) in someone with HIV includes obtaining a blood chemistry panel to examine the creatinine and BUN, a urinalysis to evaluate for proteinuria, a review of the medication history to look for possible offending agents, and an ultrasound to assess for kidney size. A kidney biopsy is the definitive study for diagnosis.
HIVAN can be associated with large kidneys on renal ultrasound.
HIV-associated glomerulopathy (including HIVAN) can show the presence of blood and/or protein on urinalysis. HIVAN is usually associated with proteinuria, not hematuria.
Acute interstitial nephritis is associated with pyuria and the presence of urine eosinophils. Serum eosinophilia may not be present.
The treatment for acute renal failure (ARF) in HIV patients is directed at the cause of the underlying renal failure.
Concerning acute interstitial nephritis (AIN), the offending medication must be discontinued. Prednisone can be added for the treatment of AIN (both for someone with HIV and in general). Its use can be cumbersome in someone with HIV who has already a depressed immune system.
The first line of treatment for HIVAN is HAART therapy as this can help elevate the CD4 count and reduce the viral load (i.e. improve the immune system which can help alleviate HIVAN). In addition, Prednisone can be used to treat this condition. ACE inhibitors are also prescribed to help with reducing proteinuria.
The degree of recovery from HIVAN depends on the degree of renal damage at time of diagnosis. In many cases, HIVAN is not reversible.
Benign Tumors
Papillary Adenoma
Renal papillary adenoma, the most common benign renal lesion, are characterized as small, well circumscribed masses, usually asymptomatic, most commonly found at autopsy.
Renal papillary adenomas are found in increasing incidence in those with advanced chronic kidney disease on hemodialysis.
Because renal papillary adenomas are difficult to differentiate from carcinoma based on histology/cytogenetics alone (e.g., many cortical adenomas share cytogenetic features with papillary RCC), most solid renal masses are treated as if they were malignant.
A kidney biopsy or even surgery is needed to definitively diagnose the lesion. Histologically, as above, it can resemble renal cell carcinoma; the presence of psammoma bodies may be seen (as with any “papillary” type of lesion).
If the lesion is determined to be benign, larger sized tumors may be removed surgically, while others may be followed serially.
Angiomyolipoma
Angiomyolipomas are polyclonal neoplasms consisting of thick-walled blood vessels (“angio”), smooth muscle (“myo”), and adipose (“lipoma”).
Angiomyolipomas are associated with Tuberous Sclerosis.
Angiomyolipomas are found incidentally on a CT scan of the abdomen looking for other medical conditions.
The most feared complication of renal angiomyolipoas is retroperitoneal hemorrhage.
The risk of bleeding is increased if the size of the lesion is > 5 cm. Embolization can be used to treat an acute bleed.
Malignant Tumors
Wilm's
Wilms tumor (nephroblastoma) is a tumor of the kidney, typically occurring in children.
Wilms Tumor is a malignancy of the metanephric mesoderm.
Wilms tumor is the most common renal malignancy in children.
Note that the majority of the time it affects one kidney, but both kidneys can be affected by this condition.
Wilms tumor is not thought to be a familial inherited renal malignancy. The etiology of this condition remains elusive. It is associated with a number of syndromes you should be aware of.
Many of the genetics of Wilms tumor are associated with the tumor suppressor gene WT1.
Mutations in this gene can cause increased abnormal cell replication. This increases the risk of developing malignancies. Other genetic mutations are being studied.
DNA analysis is also important as the genetics can also help determine the response to treatment and the rate of relapse for this condition.
Wilms tumor may be part of WAGR complex:
Wilms tumor (due to deletion of the WT1 and/or WT2 tumor suppressor genes on chromosome 11)
Aniridia (due to mutation/deletion of the PAX6 gene on chromosome 11)
Genitourinary malformation
Mental-motor Retardation
Patients with Beckwith-Wiedemann syndrome (BWS) are at increased risk for tumor development, most commonly Wilms tumor and hepatoblastoma. BWS is a pediatric overgrowth disorder that is caused by the deregulation of imprinted genes on chromosome 11 (11p15.5). It is characterized by:
Macroglossia
Macrosomia
Omphalocele
Hemihyperplasia (formerly called hemihypertrophy)
Neonatal hypoglycemia (due to islet hyperplasia)
Wilms tumor may also be associated with Denys-Drash syndrome, which is caused by a mutation in WT1 and is characterized by:
Gonadal dysgenesis (male pseudohermaphroditism)
Early-onset nephrotic syndrome leading to renal failure
High-risk of Wilms tumor
Wilms tumor usually presents in children less than five years of age (2/3 of all cases). The presenting symptoms can vary, and some children may be asymptomatic.
Common signs and symptoms of Wilms tumor include:
Abdominal mass or swelling (most common)
Abdominal pain
Hypertension
Hematuria
Fever
It is important to look for other congenital anomalies in someone with Wilm’s tumor. Note that hemihypertrophy of one side of the body can be seen in a small percentage of those with Wilm’s tumor.
Diagnosis
Diagnosis of a Wilms' tumor is based on the child’s young age (usually less than 5 years of age) and the presence of one or more of the aforementioned symptoms. The diagnosis can be confirmed with radiologic imaging.
The initial imaging study in a patient with suspected Wilms tumor is abdominal ultrasound, which can distinguish Wilms tumor from other abdominal masses (e.g. multicystic kidney disease, hydronephrosis).
Following abdominal ultrasound, doppler ultrasonography and either contrast CT or MRI should be performed to further evaluate a suspected Wilms tumor.
Note that a small percentage of those with Wilms’ tumor can have involvement of the opposite kidney; this seems to be best diagnosed by surgical exploration as it may be missed on imaging studies.
Treatment
The treatment approach to Wilms’ tumor is multi-faceted and involves surgical, radiation and chemotherapy treatments.
Radical nephrectomy for Wilms’ tumor is one of the recommendations for treatment. Partial nephrectomies (preserving renal parenchyma) is currently being studied as an alternative.
Chemotherapy agents used include Vincristine, Dactinomycin, and Adriamycin.
RCC
Renal cell carcinomas (RCC) are adenocarcinomas derived from renal tubular epithelial cells and are the most common type of kidney cancer in adults.
Renal cell carcinomas most commonly present in adults 50-60 years of age. Predisposing factors include:
Male sex (2x more common in males)
Smoking
Hypertension
Obesity
Chronic analgesic use (e.g. acetaminophen)
Von Hippel-Lindau syndrome
Polycystic kidney disease
Heavy metal exposure (e.g. mercury, cadmium)
Von Hippel Lindau syndrome is an autosomal dominant disease associated with deletions in VHL gene on chromosome 3. Patients often develop renal cell carcinoma, especially multifocal and/or bilateral RCCs.
The most common type of RCC is clear cell adenocarcinoma:
Non-papillary growth pattern
Polygonal-shaped cells with clear or granular cytoplasm ("clear" under the light microscope due to high intracellular glycogen and lipid content)
Areas of metastasis include the lung, liver, brain and bone. Hematogenous dissemination is made possible by tumor thrombus invasion of the renal vein and inferior vena cava.
The most common symptom associated with renal cell carcinoma is hematuria, occurring in up to 70% of patients.
Although most patients with RCCs remain asymptomatic, some patients may present with constitutional S/Sx (e.g. fever, weakness, weight loss) and at least some of the "classic triad":
Flank pain and costo-vertebral angle tenderness
Palpable flank mass
Hematuria
Note that the classic triad occurs in less than 10% of patients with renal cell carcinoma.
Paraneoplastic syndrome from ectopic hormone production occurs in 20% of RCC patients:
PTHrP → hypercalcemia
EPO → polycythemia
ACTH → ↑ cortisol → Cushing syndrome
Renin → hypertension
Renal cell carcinoma may result in complications such as:
Hypertension
Hypercalcemia
Electrolyte abnormalities
Metastasis (lungs are the most common site)
Osteolytic bone lesions
Polycythemia
Renal failure
Diagnosis
Renal cell carcinoma is often first detected on abdominal ultrasound.
Following abdominal ultrasound, a contrast CT scan of the abdomen and pelvis is the diagnostic modality of choice for confirmatory diagnosis and staging.
The urinalysis can be abnormal demonstrating the presence of hematuria and red blood cells.
Treatment
Surgery with partial nephrectomy or complete nephrectomy is curative in the majority of patients with localized RCCs.
Anti-angiogenic (VEGF pathway) tyrosine kinase inhibitors such as sorafenib are first-line in treating patients with metastatic RCC.
Immunotherapy with IL-2 or IFNa are considered second-line in metastatic RCC.
Last updated
Was this helpful?