38 Cardiac Tumors
_..

in general, rare
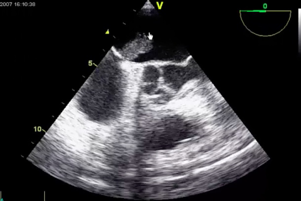
Myxoma
_..
,


muco: sticky molecules


obstruct flow: ball in valve
pt die suddenly. Autopsy finds myxoma. Cause of death: MV obstruction
Rhabdomyomas
_..




angiofibroma

Last updated
Was this helpful?