01 Bacteria
Structures
Cell Wall

.,
Gm +: thicker peptidoglycan cell wall, take up stain
Gm -: outer membrane unique
Peptidoglycan

.,


_..

Unique Cell Wall
_..

Cell Membrane
_ECT and oxidative phosphorylation in bacteria happens here. Contains enzymes and carrier molecules.,
Gm positive membrane
_..

Gm negative membrane
_..

Periplasm also contains peptidoglycan

Pts very very sick with gram negative bacteria
LPS
_..
on outer membrane of gm -

Lipid A makes patients sick
Capsules
_..


_..

_..
SHiNE SKiS

Quellung reaction
_..

Immune reaction against capsules
_..

Capsules resistance to phagocytosis
opsonin marks for phagocytes

_..


also sickle cell anemia: functional asplenia
_..

Glycocalyx
_..

Pili and fimbria
_..

Neisseria: recurrent infections
Flagellum
_..

Plasmids
_..

Ribosomes
_..

Spores
_..

like seeds

Spore forming bacteria
_..

Shapes
_..

_..

vibrio: curved
Pleomorphic and obligate intracellular:

_..


Cocci
_..

Rods
_..

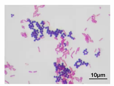
Stains

.,
gram +: purple (Positive for Purple)
gram -: red
_..

Iodine: all cells become purple
Decolorization: only gram + retain color
[_](example bacteria that don't stain well)

mycobacteria: acid fasting..
Giemsa

.,
Ziehl-Neelsen
_Aka acid fasting.,

.,
Silver stain

.,
India Ink

used for fungi in yeast form
.,
_..

actinomyces: long branching, jaw abscess

Last updated
Was this helpful?