08 Bone Biology



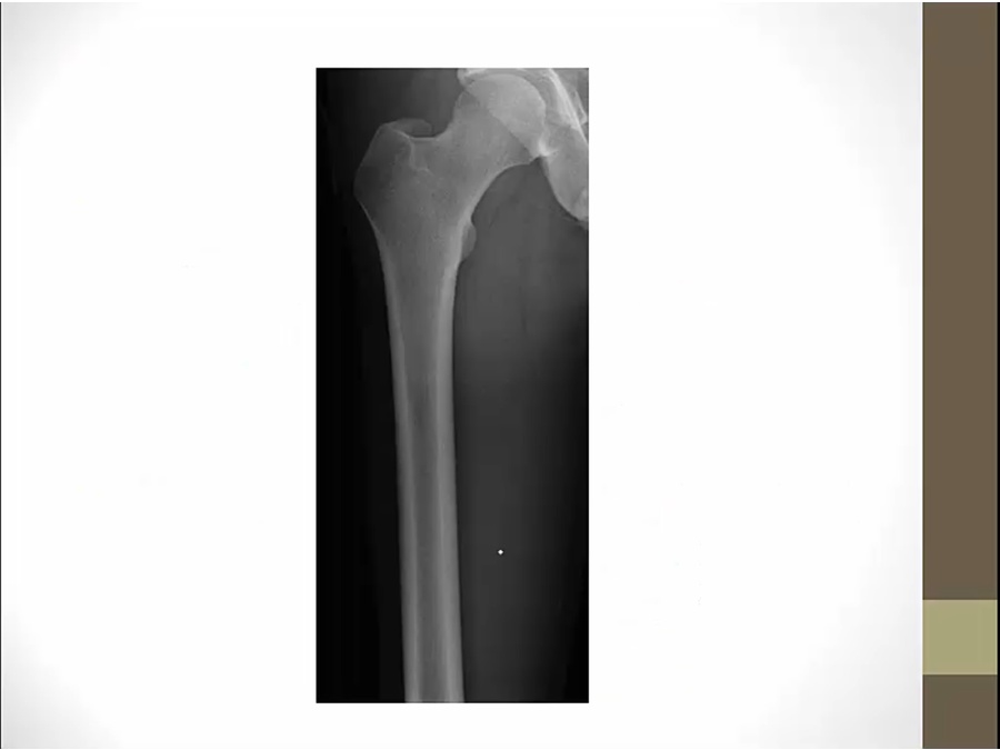
trabeculated: honey combed

center: medullary cavity
top: porous, trabeculated, end of long bone





osteoclast slave to osteoblast



Formation



2 ossifications grow towards each other and trap epiphyseal plate

layer of cartilage trapped = growth plate

chondrocytes grow toward epiphysis
osteoblast grow towards diaphysis

woven bone remodeled by osteoblast




Hunter's and Hurler's cannot metabolize mucopolyssachrides

all these go up in increased activity


acidosis bad for bone formation
chronic acidosis: bone break down







Last updated