20 Intracranial Bleeding
ICP
Causes

Symptoms




GCS

Herniation


Subfalcine

Uncal



Transtentorial

Tonsilar

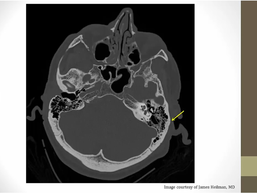
Bleeding


Epidural





Subdural



SAH



Hemorrhagic



Charcot-Bouchard

Cerebral Amyloid Angiopathy

IVH


Last updated