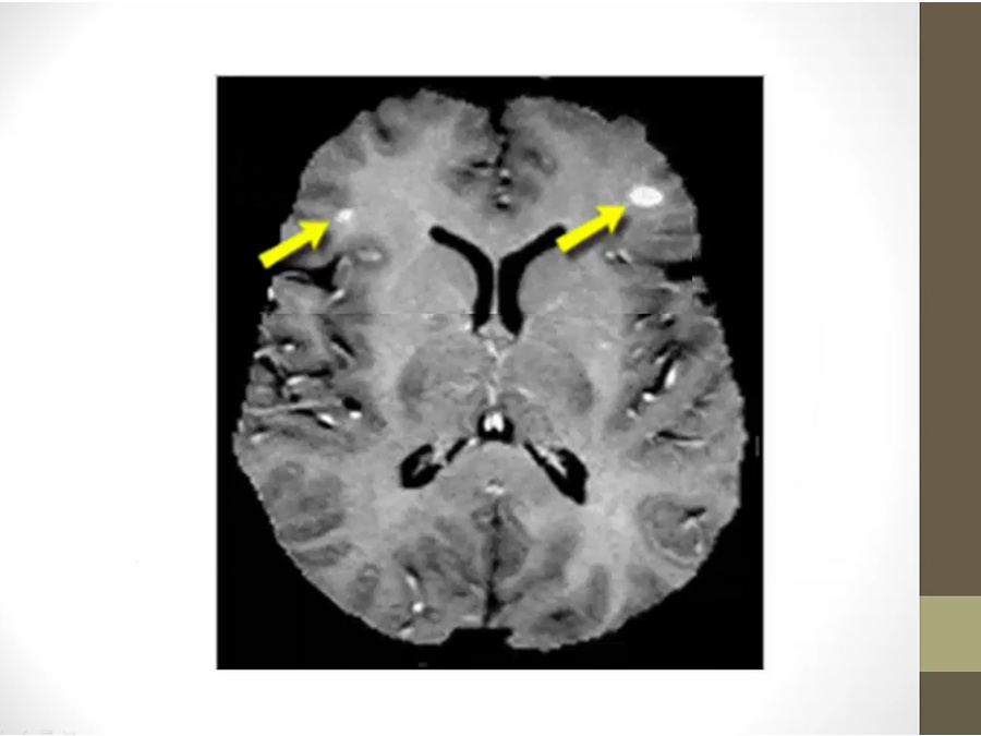
40 Demyelinating Diseases

MS

weakness of arm, tingling of face, then go away; then second symptoms
very very tired after hot shower: less nerve transmission

Myelin basic protein one of the antigens
type 4 but has antibodies
Symptoms

pain/loss of vision in one eye
Internuclear ophthalmoplegia: double vision/diplopia
bladder: spasm or fail to sense

oligoclonal bands: protein of certain size



newer agents: don't know how they work
Guillain Barre

acute
no reflex

endoneurium classically affected

SCD: sudden cardiac death


nonspecific

weak respiratory muscles: support breathing
PML

poor prognosis
Posteinfectious encephalomyelitis


hypodense on imaging
Charcot - Marie - Tooth

weakness and severe deformities in lower extremities and feet

Metachromatic Leukodystrophy


Krabbe


Last updated
Was this helpful?