19 Nonhodgkin Lymphoma

classified in many ways

last 2: T cells

different in different places of lymph nodes
follicles: follicular lymphoma
region surround follicle: mantle, mantle cell lymphoma
marginal zone: outside mantle, marginal zone lymphoma
Diffuse Large B


really difficult to recognize by cell
lymphoid follicle structure obliterated


large crab marching up to archers in stronghold (B cells in lymphoma): AIDS can cause Diffused Large B Cell Lymphoma

testicular lymphoma

Follicular


B cell make antibodies: heavily use IgG H chain, over express BCL 2 next to it
Germinal center B cell frequent apoptosis with lack of BCL2
Now: does not die

feared outcome: convert to diffuse large B

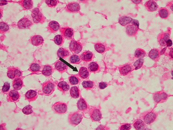
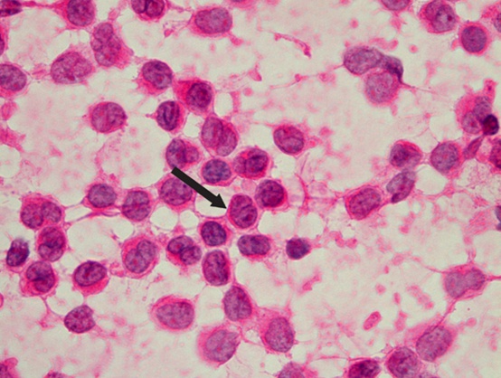
abundance of follicles
histology shows centrocytes


presence of macrophages seen in reactive lymphadenopathy

reactive: some develop more than others
Mantle Cell

different in different places of lymph nodes
follicles: follicular lymphoma
region surround follicle: mantle, mantle cell lymphoma
marginal zone: outside mantle, marginal zone lymphoma


cells grow rapidly, unregulated growth
Marginal Zone

different in different places of lymph nodes
follicles: follicular lymphoma
region surround follicle: mantle, mantle cell lymphoma
marginal zone: outside mantle, marginal zone lymphoma

marginal zones form and expands in settings of chronic inflammation
found in portions of bodies where chronic inflammation occurs
Small

can present with swollen lymph nodes and very high WBC count, like leukemia
Burkitt


rapidly dividing cells, create lots of debrid cleaned up by macrophages, clearing spaces
cancer cells with white areas

Africa/New Guinea: high prevalence of EBV
sporadic: any country


B tumors association with latent EBV

AA bar kid with swelling jaw: Endemic or African Burkitt lymphoma = large jaw lesion and swelling

T Cell leukemia/lymphoma


lymphocytosis: leukemia
lymphadenopathy: lymphoma
rule of thumb: T cells involve skin
MM: no LAD, skin lesions, lymphocytosis, endemic location
Cutaneous T


mycosis: nothing to do with fungal infection

malignant cells enter blood stream
Last updated
Was this helpful?