26 Renal Tumors
_..

1st 3 kidney cancer, RCC most common
last 3 bladder cancer, transitional most common
RCC
_..


cigarette and obesity very important
_..

few pts have classic triad, most just have hematuria



_..


glycogen/lipids do not stain very well

N: normal
circle: yellow mass
F: fat
_..


_..



_..

IL 2 part of inflammatory response, like giving flu to someone

Plush cancer crab in kidney machine: interferon alpha treats renal cell carcinoma
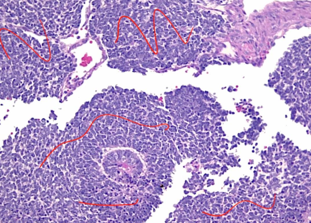
Wilm's
[_](Wilm's tumor epidemiology, type of cell, classic case)..

HTN in children very rare
average age 3
tumor in child kidney, think Wilm's
composed of blastema: primitive kidney tissue
large unilateral flank mass
[_](Wilm's histology and gross)..


[_](Wilm's inheritance and mutation, association)..


very rare

neonatal hypoglycemia
large tongue
Angiomyolipoma
_..

angio: blood vessel; myo: smooth muscle; lipoma: fat
cortical tuber: growth or bulge
very important: leaf-like patches of skin, pale skin in shape of leaf


Lack of migration
Neocortical tubers: very hard and white. Glia and neurons jumbled up
Nodules around ventricles
Brain tumors SEGA


top: discolored areas
SEGA: blocking fluid in ventricles = hydrocephalus. Tube to drain extra fluid

don't worry about histology.
Big mass in child

Looks like fat in middle of kidney
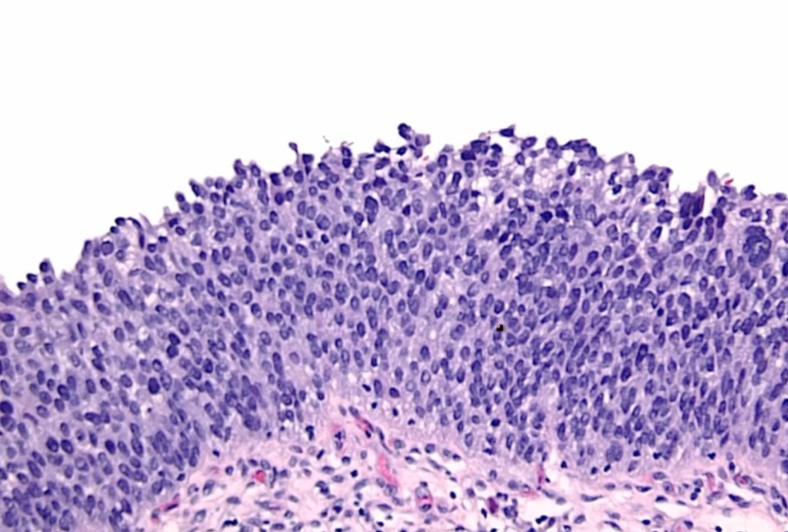
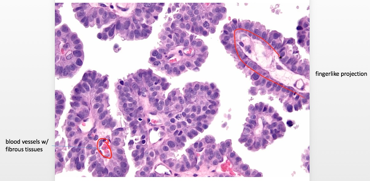
Transitional Cell Carcinoma
_..

flat pathway: high grade flat tumor then invades. Early p53 mutation
papillary: low grade papillary tumor that progress to high grade and then invade. Not association with p53


_..

smoker with hematuria: think bladder cancer
phenacetin: analgesic
any industrial job

Cancer crab belt buckle: cyclophosphamide increases risk of bladder cancer (high grade transitional cell carcinoma)
_..

cast: glomerular source of bleeding

platinum used for transitional
Squamous Cell
_..


Adenocarcinoma
_..

Last updated
Was this helpful?