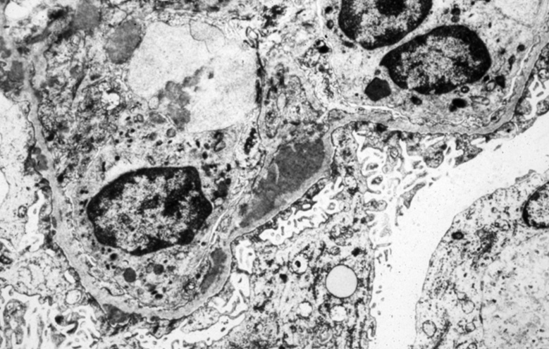
19 MPGN
_..

some element of renal failure (increase in BUN/Cr), hematuria, proteinuria
Type 1
_..


thick knots in string: Associated with membranous glomerulonephritis
3 string: Associated with membranoproliferative glomerulonephritis. Tram track appearance



subendothelial deposits




symptoms range from mild hematuria to full blown RF
Type 2
_..


electron dense deposits in basement membrane
complement overactivation
negative IF




symptoms range from mild hematuria to full blown RF



Last updated
Was this helpful?