18 Nephrotic Syndrome
_..



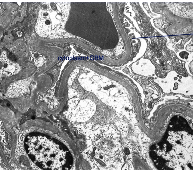
may be in casts or in plasma membranes

mostly LDL not HDL
_..

diseases damage podocytes leads to nephrotic syndrome
podocytes walled off from cellular components, no inflammation, no nephritic

_..

Minimal Change Disease
_..


loss of albumin (-) in urine
HL: massive production of cytokines

things trigger cytokines can trigger MCD

steroids help cytokines
most other nephrotics not responsive to steroids



minimal changes on renal biopsy
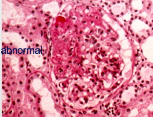
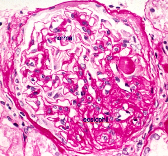
FSGS
_..

more serious/dangerous version of MCD



HIV associated

_..



IgM, C3



image: normal upright, abnormal lower left; pink deposition in abnormal
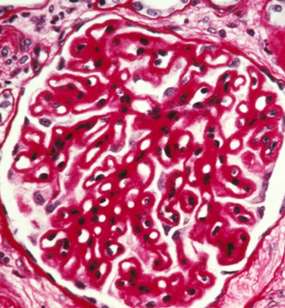
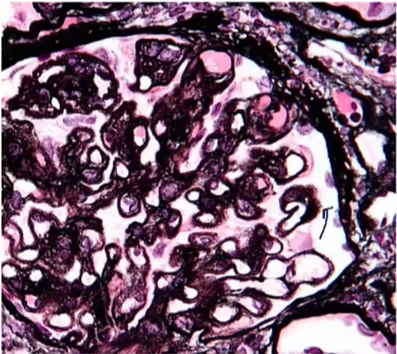
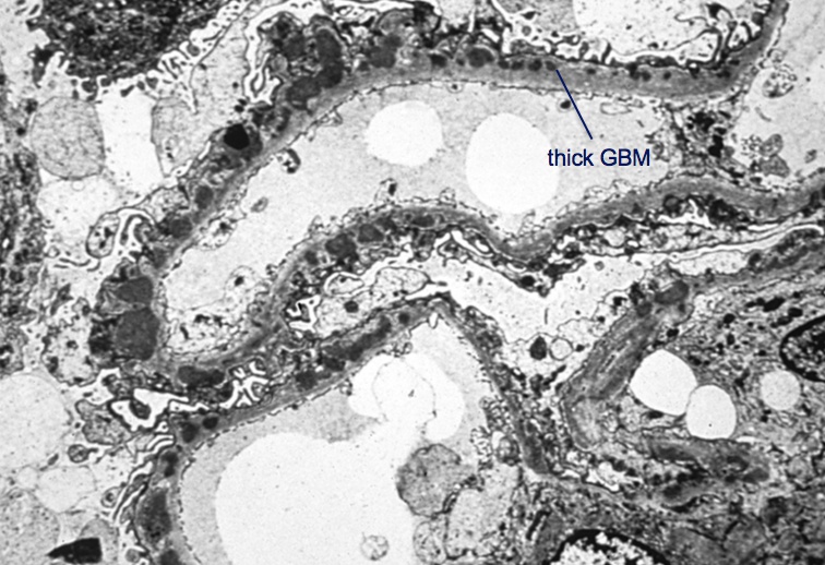
Membranous Nephropathy
_..


no triggering inflammation



thick knots in string: Associated with membranous glomerulonephritis
3 string: Associated with membranoproliferative glomerulonephritis. Tram track appearance

_..

if hypercellular: membranoproliferative



thick GBM





Spike and Dome
Diabetic Nephropathy
_..

Amyloidosis
_..

Last updated
Was this helpful?